« Invisible » Treatments
Nowadays, there exist different possibilities to reduce the visibility of an orthodontic treatment in patients who prefer it for professional and personal reasons.
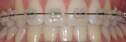
Ceramic brackets: We us the ceramic brackets of the Clarity® type.
There are several advantages of ceramic brackets compared to brackets made from plastic. Ceramic brackets do not change color by time due to the intake of coffee, food (curry) or wine etc. Ceramic does not change its dimensions simply by applying orthodontic forces such as brackets made from resin.
Removable splints: We use among others the splint system called Invisalign®.This treatment contains a series of clear and removable aligners that can move your teeth over time. One removable aligner is worn two to three weeks before being replaced by the next aligner. The aligners are made individually for your teeth.
Lingual Brackets : We are using the system called Incognito®. The brackets are placed on the lingual side of the teeth. It is possible to have the treatment done with high quality due the precision of the brackets and wires made by the Incognito system. The Incognito brackets are done individually for each tooth which explains the higher costs for the laboratory material.
Both Dr. Christof Joss and Dr. Isabella Joss-Vassalli obtained their certificates for orthodontic treatments with the Invisalign® and Incognito® systems.
There are different “invisible” treatment options which have to be in accordance with the degree of difficulty of your tooth alignment and aim of the orthodontic treatment. Advantages and disadvantages of the particular treatment options are discussed.
Please contact us for your personal consultation!
